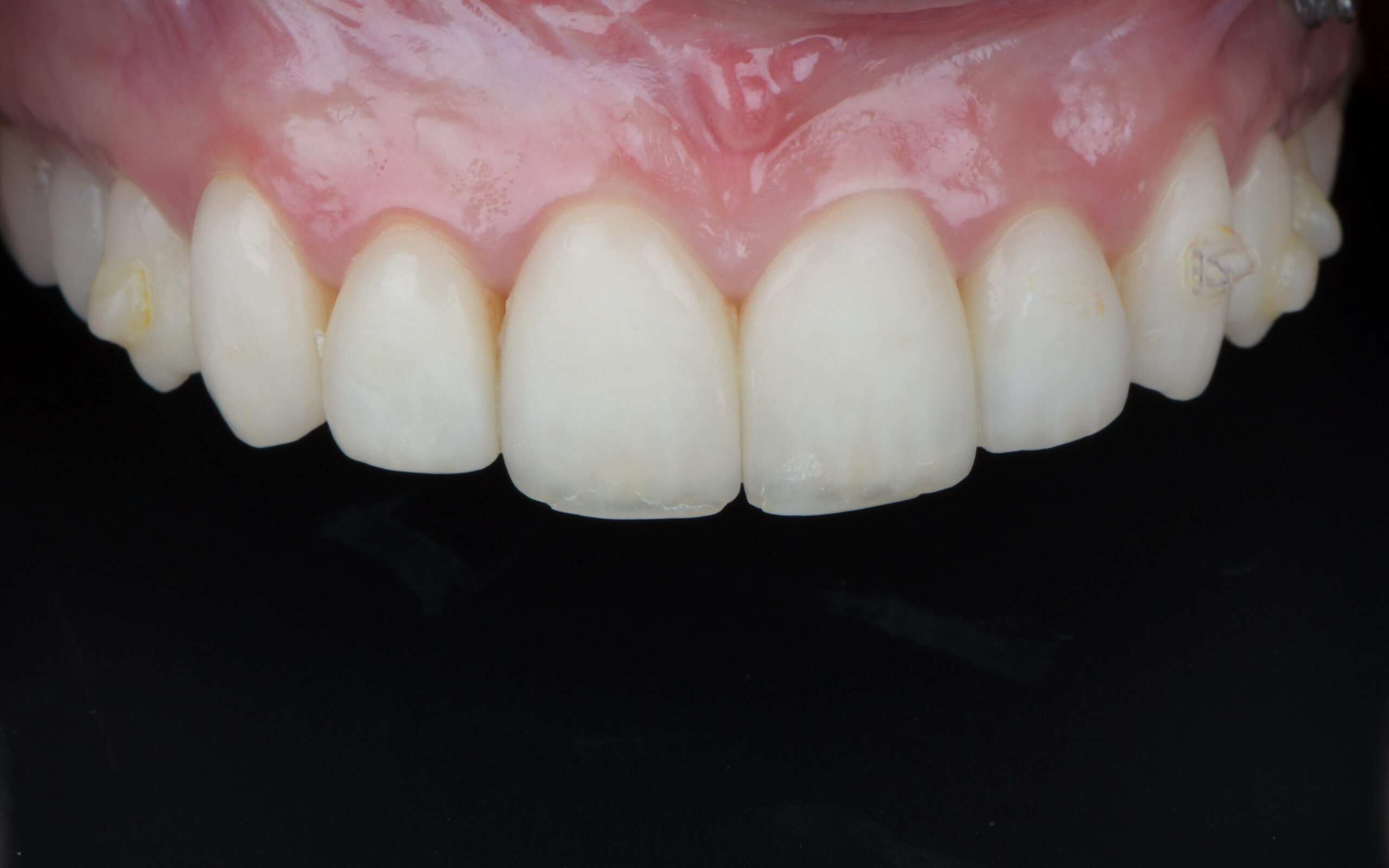
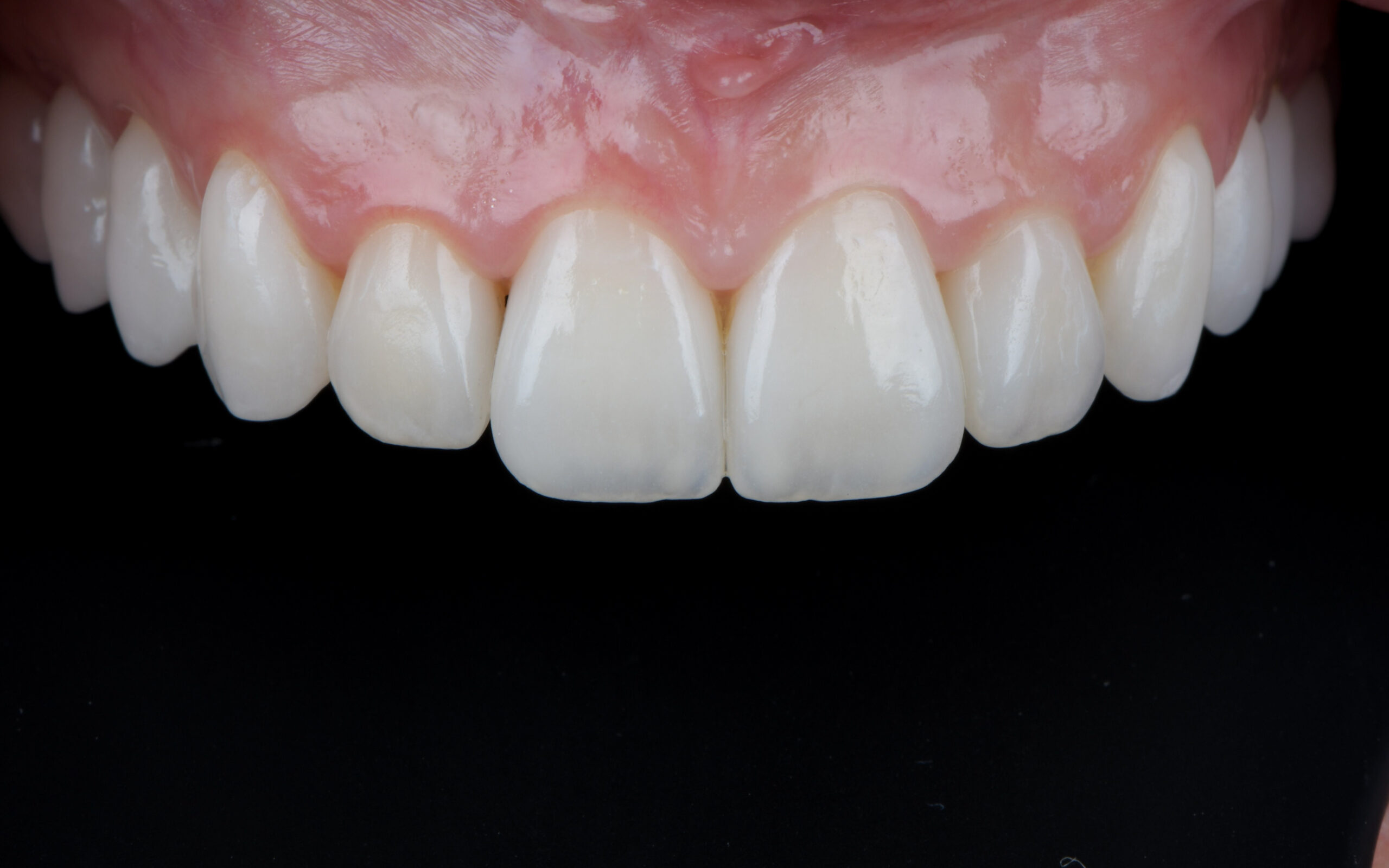
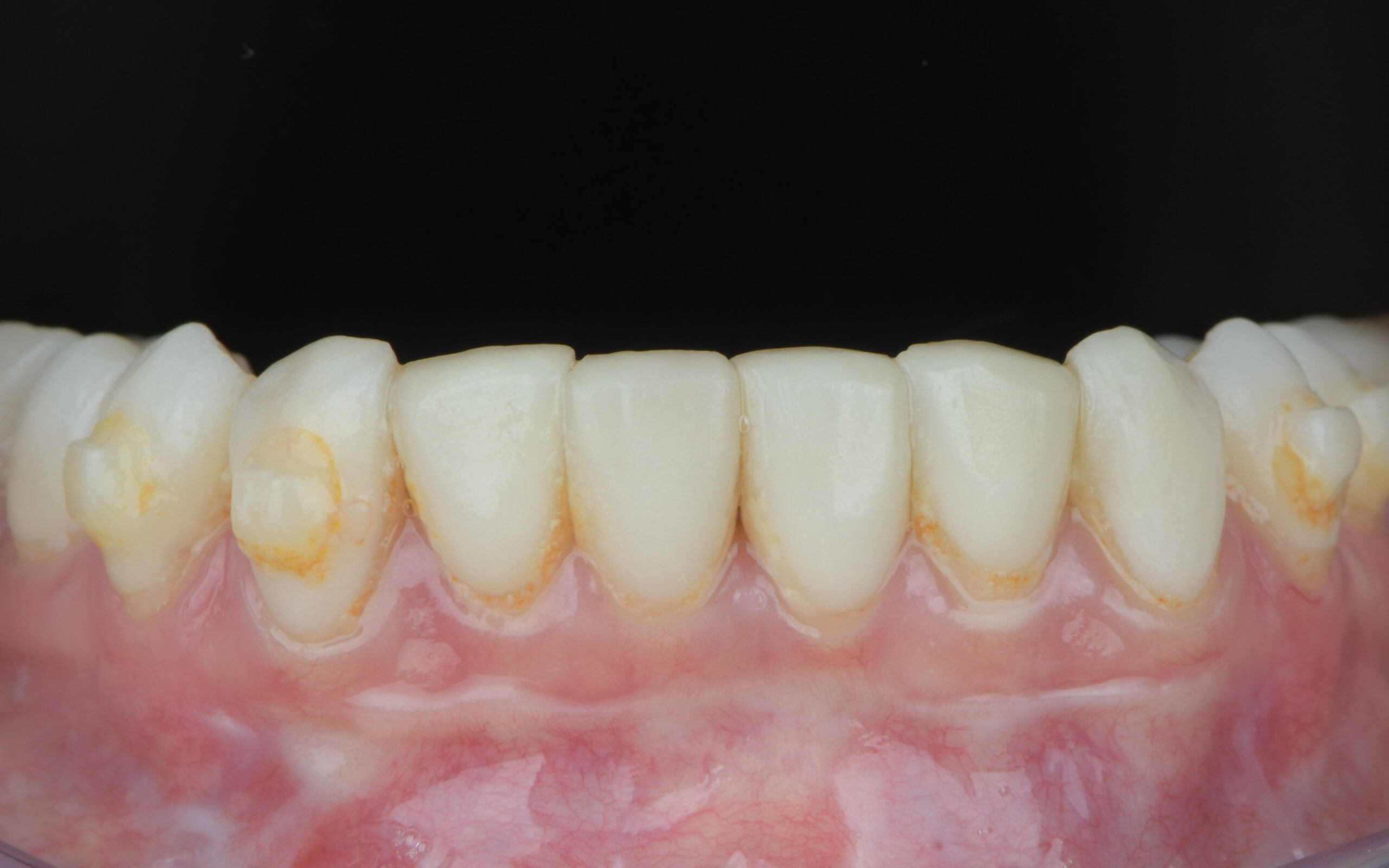
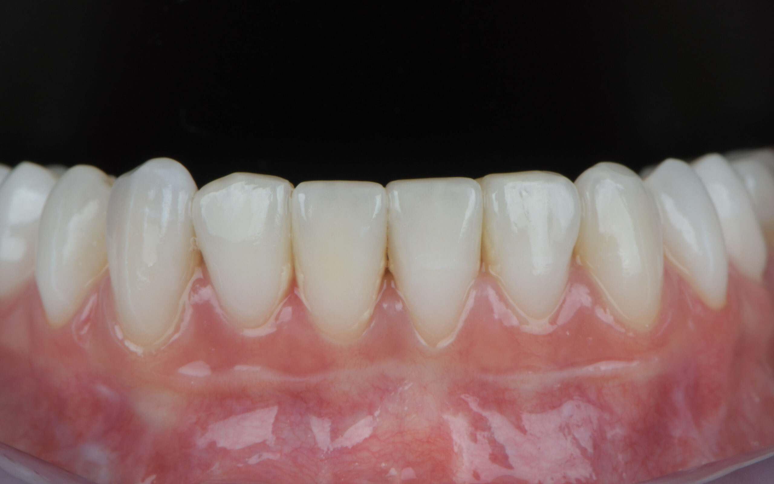
Procedūros: Dantų laminatės

Darbą atliko

Marius Gelažanskas

Domina paslaugos? Susisiekite