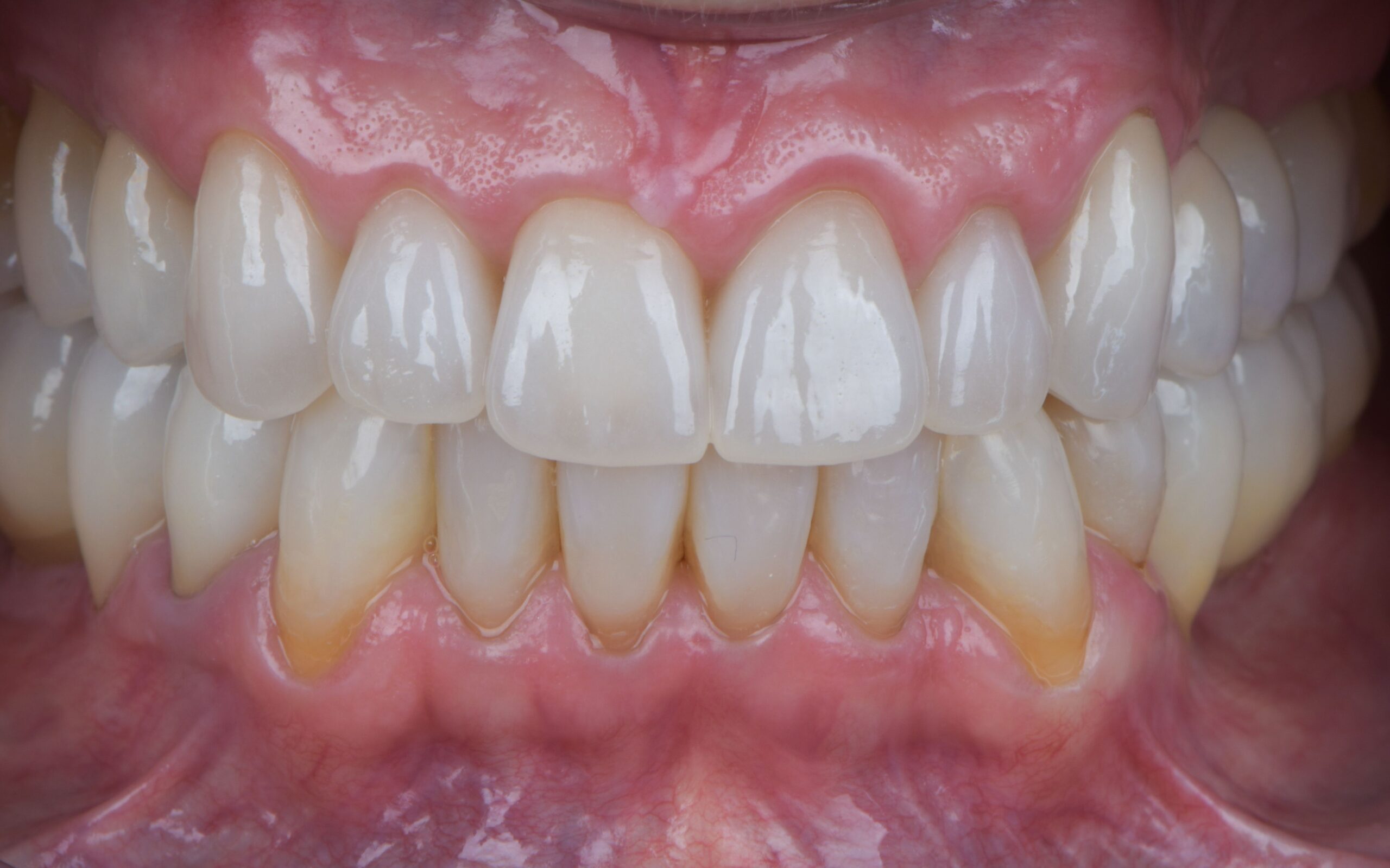
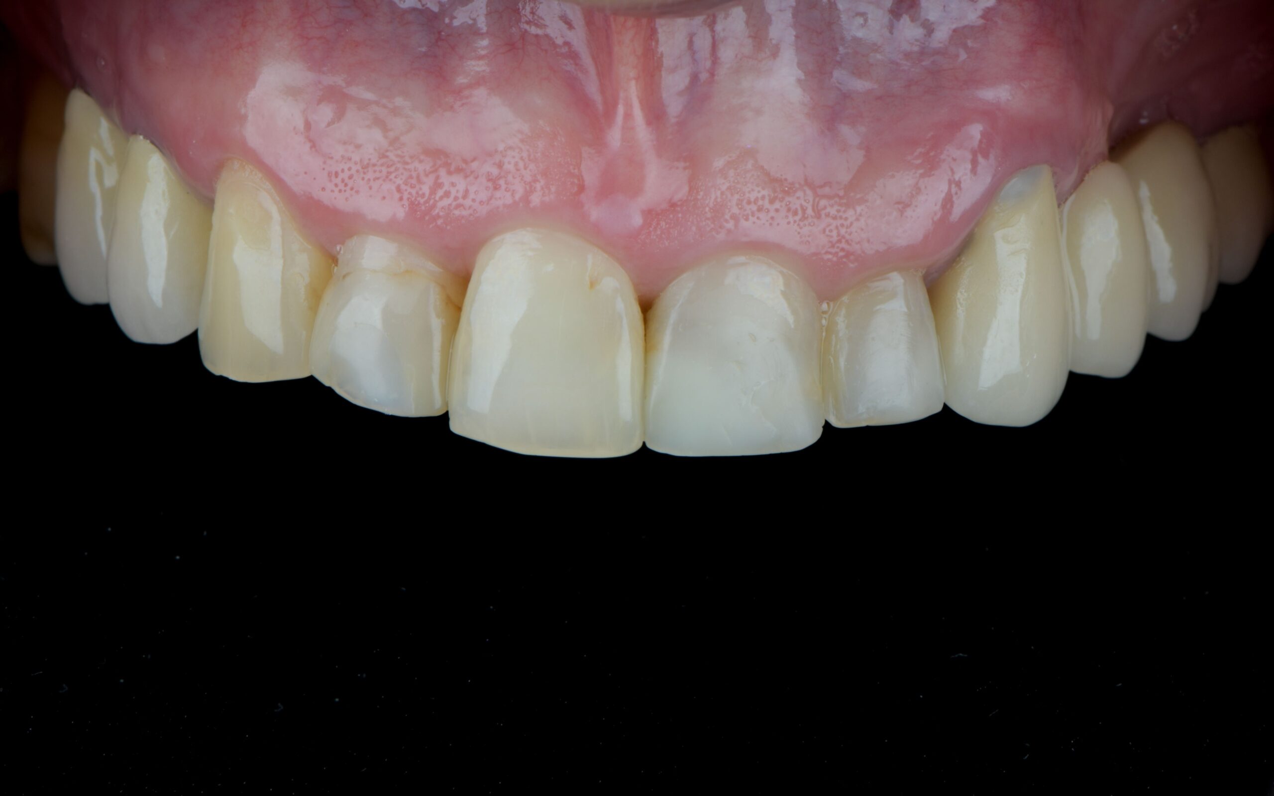
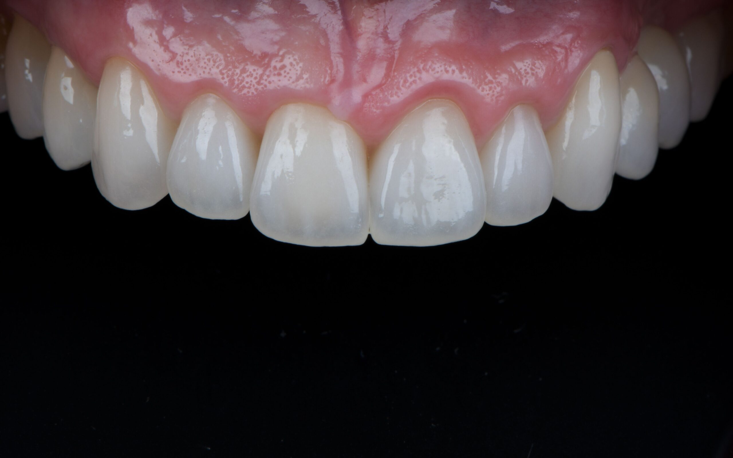
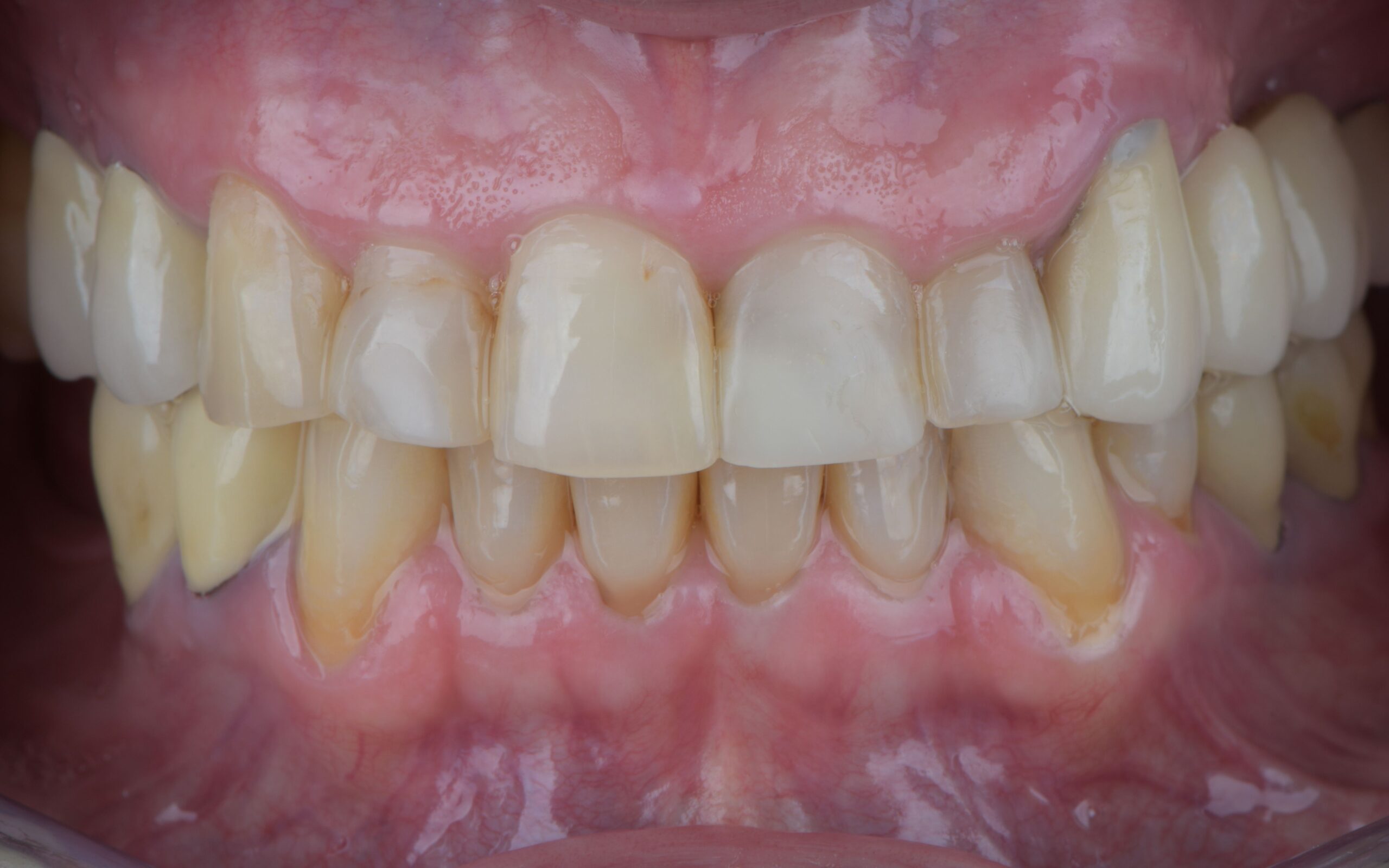
Procedūros: Dantų laminatėsDantų protezavimas, dantų protezaiDantų plombavimasDantenų plastika
Sveiki,
Jei prieš registruojantis turite klausimų – esame pasiruošę į juos atsakyti. Susiekite telefonu +370 614 47777